FAQ’S
General Questions
-
Insurance usually only covers ultrasounds when they’re medically necessary—meaning a doctor has ordered the test to diagnose or monitor a specific health concern.
Screenings, on the other hand, are preventative and done proactively to check on your health before symptoms appear. Since they aren’t tied to a diagnosis or treatment plan, most insurance companies don’t consider them “essential” and won’t cover the cost.
That’s why we offer our services directly to you-no referral, no long wait, and no surprise billing. Just easy, transparent access to care.
-
Ultrasound uses sound waves instead of X-rays, so there’s no radiation, and it works especially well in women with dense breasts, since density doesn’t block the sound waves. It can also visualize tissue around implants and evaluate implant integrity. There is no compression, making it ideal for those with implants.
Scroll to the bottom of the page to see the difference between mammography and ultrasound
-
No, we do not currently accept insurance. This is an intentional choice to make your experience simpler and stress-free. By offering direct-pay services, we eliminate the delays and scheduling hurdles often associated with insurance-based care. This allows you to book your screenings quickly and on your terms!
-
We are looking for any abnormalities! We can see the differences between cysts, solid masses, calcifications, and more. We can even see behind breast implants.
We capture detailed images so that changes can be monitored over time, helping to ensure that nothing develops into something more concerning.
-
Patients are welcome to schedule additional imaging at any time with us to monitor areas of concern, whether for their peace of mind or at the recommendation of their healthcare provider. The radiologist will also recommend a follow-up on your report if he feels it’s necessary.
Your provider may request the DICOM images of your exam. To release records by email, please provide your physician’s contact information at the time of service, or have your provider contact our office directly at (714) 371-8047 or by email at results@radiantviewultrasound.com.
Important Note:
Your doctor still may recommend additional imaging-such as a mammogram or other tests- to complete the evaluation if abnormalities are seen. These decisions are made by your physician and are outside our control.
-
Our practice is an out of pocket service, which means we do not bill insurance and we do not provide superbills for reimbursement . We’ve chosen this model so we can keep our services simple and more affordable. We provide straightforward pricing and focus on giving you high-quality care without hidden fees.
We do, however, provide an itemized receipt which may be used for HSA and FSA reimbursements.
-
All exams are reviewed by a Board-Certified Radiologist, who provides a detailed report. Reports are typically ready within 1-3 business days. Please note that we do not have a radiologist on site.
While our ultrasound technologist is highly skilled in conducting the scan, they are not permitted to provide diagnostic information during your visit.
-
Yes. We utilize medical-grade ultrasound systems with advanced Shear Wave Elastography.
Elastography evaluates the stiffness of a palpable or imaging-detected lump, providing valuable information to complement conventional imaging and physical examination.
Malignant lesions frequently present as firm or hard, whereas benign masses are commonly softer; elastography can thus help differentiate between these characteristics. When a lesion demonstrates low stiffness, this information may reduce the likelihood of an immediate biopsy and support conservative management or short-interval imaging follow-up.
Conversely, an increase in stiffness over time can raise concern for evolving malignancy and prompt further diagnostic workup, including biopsy and multidisciplinary assessment to guide appropriate care.
-
We accept major credit cards including Visa, Mastercard, American Express, Discover, and Apple Pay.
We also take FSA and HSA debit cards as long as they have a major credit card logo.
An itemized receipt will be provided which may be used for HSA and FSA reimbursements.
-
Our Highlights:
Comprehensive screenings
Get all your ultrasound needs in one place
Women’s health expertise
Specialized care from a licensed ultrasound technologist with a focus and passion in women’s health
Hospital grade technology
Top-tier machines for accurate results
Comfortable facility
Designed to put you at ease from start to finish! (warm gel, cozy blanket, soothing music, gentle care)
Fast results
Reports delivered within 1-3 business days by a California licensed Radiologist
Personalized care
No “assembly line” approach, we take the time needed with each patient
Patient satisfaction first
Our goal is for you to leave feeling cared for, comfortable, and at ease
-
You may log into your account to modify or reschedule your appointment at any time up to 24 hours before your scheduled visit.
Call our office directly if
-
Absolutely! Although we are not affiliated with an insurance company or hospital, your ultrasound is interpreted by a licensed board-certified radiologist, and the official report and images can be kept in your medical records just like any other imaging study.
Your provider may request the DICOM images of your exam. To release records by email, please provide your physician’s contact information at the time of service, or have your provider contact our office directly at (714) 371-8047 or by email at results@radiantviewultrasound.com.
We do not fax reports. All readings are sent by email only.
Breast Ultrasound FAQ’s
-
Dense tissue doesn’t obscure the image on ultrasound the same way it does on mammography, making it excellent for those who have been told they are “dense”.
We see through the tissue very clearly, in fact, we can see down to your lungs, but we won’t be scanning those! All levels of density welcome.
-
Ultrasound is ideal for those with implants! It not only provides a clear look at the surrounding tissue (even behind the implant), but it can also identify any implant concerns such as rupture, leaks, capsular contracture, and other changes.
Any abnormal changes to the implants will be added to your radiology report.
-
We can perform ultrasound seamlessly on those who have had mastectomies, reduction mammoplasty, biopsies, and other breast surgeries-they do not affect our imaging!
-
Yes. Ultrasound uses sound waves, not radiation, so it’s completely safe for both mom and baby. Breastfeeding does not interfere with the scan!
Please Note: While breastfeeding, milk can make the ducts look temporarily enlarged on ultrasound. We will make note if this is the case.
-
Breast ultrasound is generally a gentle and comfortable exam. Most patients tolerate it very well, but in rare cases, some individuals may experience increased discomfort or sensitivity, even with light touch. To obtain the best quality images, we do need to apply some steady pressure with the probe throughout the exam. If you find that even light pressure on the breast is extremely uncomfortable, this exam may not be the right fit for you.
-
While we believe ultrasound is a superior imaging modality for its safety and accuracy, especially for women with dense tissue, mammography can be best used as a compliment to sonography.
-
Yes, we scan the entirety of both breasts and the underarms (axillae) to check for any changes in the lymph nodes.
a.
b.
Mammogram vs
Ultrasound
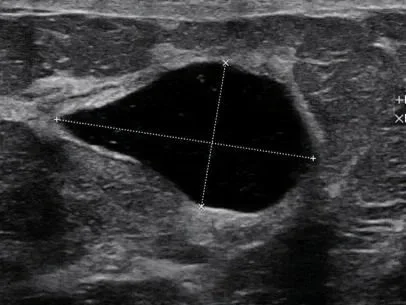
On a mammogram, dense breast tissue looks white (a), which can make it harder to see cysts or solid lumps. With ultrasound (b), dense tissue, cysts, and solid lumps each look different. The dense tissue doesn’t obscure the image.
The cyst is clearly seen on the ultrasound and appears as a “black” lesion, the dense tissue seen around it doesn’t block the view.
Other Exam-Specific FAQ’s
-
Patients must drink 3-6 cups of water 1 hour before the appointment and cannot empty the bladder until after the exam.
A full bladder helps move the intestines out of the way, making it easier to see the uterus and ovaries.
We apply light pressure to the pelvic area, just below the belly button.
These instructions will be emailed to you after scheduling an appointment.
-
We currently do not perform transvaginal exams, only transabdominal to view the uterus and ovaries.
This is safe for patients who are not sexually active.
-
Since this exam requires a full bladder (the bladder acts as a flashlight for the uterus and ovaries), people with advanced kidney disease, poor bladder emptying, or severe fluid restrictions may not be recommended.
If you have non-serious difficulty keeping your bladder full, your technologist will work with you to get the best pictures
-
Yes, the transducer glides gently on the pelvis region and is safe for women who may be on their menstrual cycle.
This exam requires a full bladder and can be a little less comfortable while menstruating.
-
We do not perform any neonatal or pregnancy related exams.
We are only checking the uterine and ovarian health.
-
Urgent care is highly recommended if you are having excruciating pain or symptoms.
Our role is to offer preventative imaging services. We do not replace a doctor’s office, clinic, or hospital.
Pelvic
-
Patients must fast for 8 hours before any abdominal organ exams. Small sips of water are permitted only if needed to take essential medications, unless otherwise instructed. This helps reduce gas in the intestines so we can get clearer images.
Your technologist may ask you to take deep breaths and hold it for a few seconds periodically throughout the exam. This helps move your organs into a better position and keeps them still so that the tech can get the clearest images possible.
Failure to fast may result in a reschedule!
These instructions will be emailed to you after scheduling an appointment.
-
Yes, you may take your medications as prescribed with small sips of water.
Avoid coffee, tea, or juice before your exam.
-
Yes, patients will need to fast for 6-8 hours (water is OK) before their appointment. This helps reduce gas in the intestines so we can get clearer images.
Failure to fast may result in a reschedule.
-
Urgent care is recommended over an ultrasound screening for intense symptoms.
While we provide imaging exams, we do not provide treatment or prescribe medication. We are a screening-only facility.
Abdomen
All exams include a detailed Radiologist’s report - sent directly to you within 1-3 business days. No insurance involvement means faster care!

